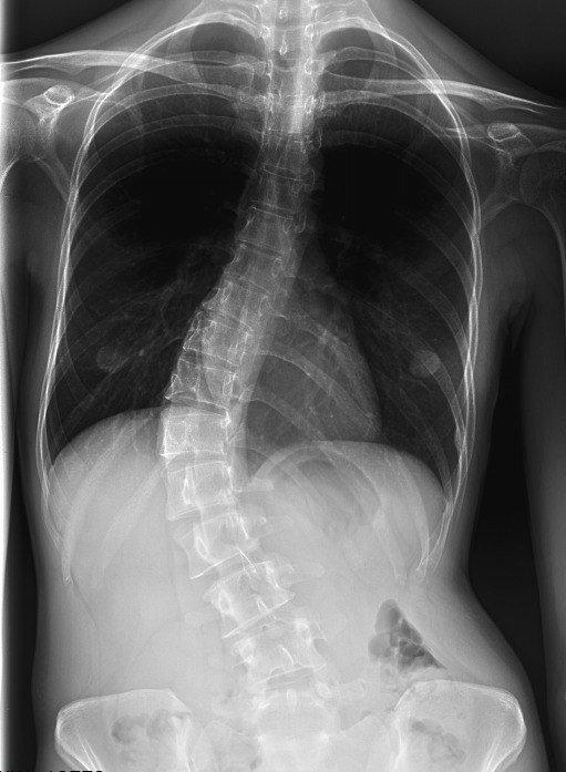
Возможности российской системы для коррекции сколиотических деформаций
Комбинация униаксиальных и полиаксиальных винтов в сочетании с многофункциональным деротационным набором позволяет проводить многоплоскостные манипуляции на имплантах существенно расширяя арсенал современного вертебролога.
Из дополнительных возможностей:
• Одномоментная деротация на стержне и на униаксиальных винтах даёт максимальный эффект контроля дуги искривления.
• При этом появляется возможность сократить количество фиксированных позвонков и проводить более селективную фиксацию, что крайне важно для сохранения подвижных сегментов после операции.
Из дополнительных возможностей:
• Одномоментная деротация на стержне и на униаксиальных винтах даёт максимальный эффект контроля дуги искривления.
• При этом появляется возможность сократить количество фиксированных позвонков и проводить более селективную фиксацию, что крайне важно для сохранения подвижных сегментов после операции.